CMF
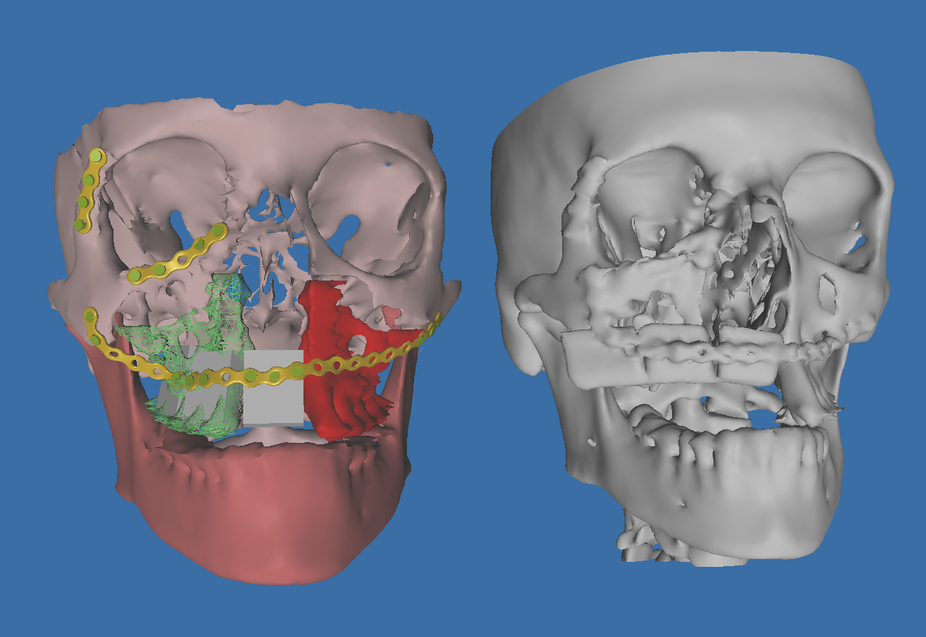
Female patient suffered a car accident, and broke her face. The right side of her
maxilla was lost. In the preoperative plan the intact side (red fragment) was mirrored
and repositioned (green wireframe).

Preoperative plan

preoperative plan merged with postoperative model (white wireframe)

Preoperative plan (left) and 3d model of the postoperative CT(right)